В Египте из живота младенца вырезали близнеца-паразита
В Египте девочку госпитализировали на 11-й день после рождения из-за того, что ее живот стал увеличиваться в размерах. Обследования установили, что внутри нее растет близнец-паразит, пишет Need to Know.
Кроме раздувшегося живота, у юной пациентки не было других симптомов - она ела и испражнялась нормально.
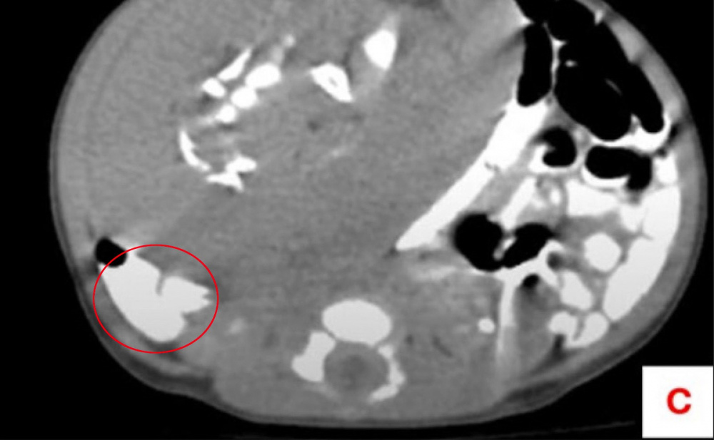
4D УЗИ показало, что в брюшной полости ребенка есть некая масса размером 8 на 6 см.
КТ с контрастированием установило, что это мягкие ткани и деформированные части скелета, похожие на длинные кости, ребра, позвонки, кости таза. Близнец-паразит получал питательные вещества от крупной артерии в теле ребенка.Его извлекли из младенца во время лапаратомии (операции, при которой совершается надрез в области брюшной полости). Капсула с телом близнеца-паразита располагалась возле печени юной пациентки. В капсуле находились жир, деформированные ткани, две конечности и пуповина. Исследование под микроскопом выявило наличие зрелой эмбриональной ткани, кожи и кишечника.
Есть тема? Пишите Kaktus.media в Telegram и WhatsApp:
+996 (700) 62 07 60.
url:
https://kaktus.media/533299


